Harnessing the power of AI to empower patients and inform treatment decisions
Tips and tricks we can utilise to uncover new insights
Sometimes you have to be innovative and resourceful to get the results you want, even if you have limited knowledge. You need to find it, somehow, and you need to seek out the best options.
… But how can we do this if we are not ‘experts’?
Well… if you have received a cancer diagnosis or treatment for any health issue, hospitals and healthcare professionals will have accumulated a significant amount of data about you. Although this data may not always be visible to you, it belongs to you, and you have the right to access all the information stored about you. Healthcare professionals might assume, as the intermediary in conveying this information, that it may be too complex for you to understand. Of course there is a lot of medical jargon and complex technical terminology, however, in the digital age, patients are increasingly dedicating time to conduct their own research.

It’s only a matter of time in my opinion that this integration with AI becomes common practice. Advancements in artificial intelligence and new technologies are opening up fresh opportunities, adding a new dimension to the independent research that patients are now taking. This era is converging with the growing trend of 'personalized medicine', as well as a more holistic view of diseases and an exploration into the 'repositioning' of non-toxic drugs and treatments for cancer.
As these fields evolve, more questions emerge about how patients can leverage these technologies to enhance their understanding and self-help in dealing with diseases where solutions are often beyond human comprehension. AI has already demonstrated significant potential in this area, particularly in improving diagnostics through AI-assisted imaging and blood tests.
How is this technology evolving and how is it currently being implemented?
The next step in the clinic, by health professionals and eventually patients themselves, will likely be the use of AI to answer more questions about individual cases.
Examples can already be seen with identifying what ‘fuels’ the area of concern is utilising (analysing the chemical composition of brain tissue and detecting the concentration of certain metabolites) using sophisticated MR Spectroscopy technology as well as to identify unknown drug interactions (food and drugs as well as to other drugs), detect some cancers earlier and to help dictate treatment decisions.

Specialised forms of AI are being utilised by clinicians for various purposes, marking a new and exciting development in healthcare. The missing part of the chain for me however, is that this technology remains largely separate from patient use.
Patients do have access to Generative Pre-trained Transformers (GPTs), which are excellent for brainstorming and generating a wide range of ideas, although, of course, it remains the physician's responsibility to critically evaluate these ideas and determine which ones are most suitable.
One method that patients can provide further insight into their own care lies with new features of ChatGPT (such as ResearchGPT and the ability to attach documents- letters, MRI screenshots, reports, etc.).
My experience
At the moment I’m learning how to best take advantage of these methods to discover novel solutions to difficult challenges.
Although there are times where you will have to use creative language to get around restrictions on the programme providing medical advice, it is still possible to analyse information from individual cases. If the request is phrased to be more anonymous (while still being specific in terms of what answers you want from the data), results can be incredibly insightful. You can even find up to date research papers to be uploaded into ChatGPT that can then be prompted to be summarised in simple terms and in relevance to the information of the patient.

A likely scenario
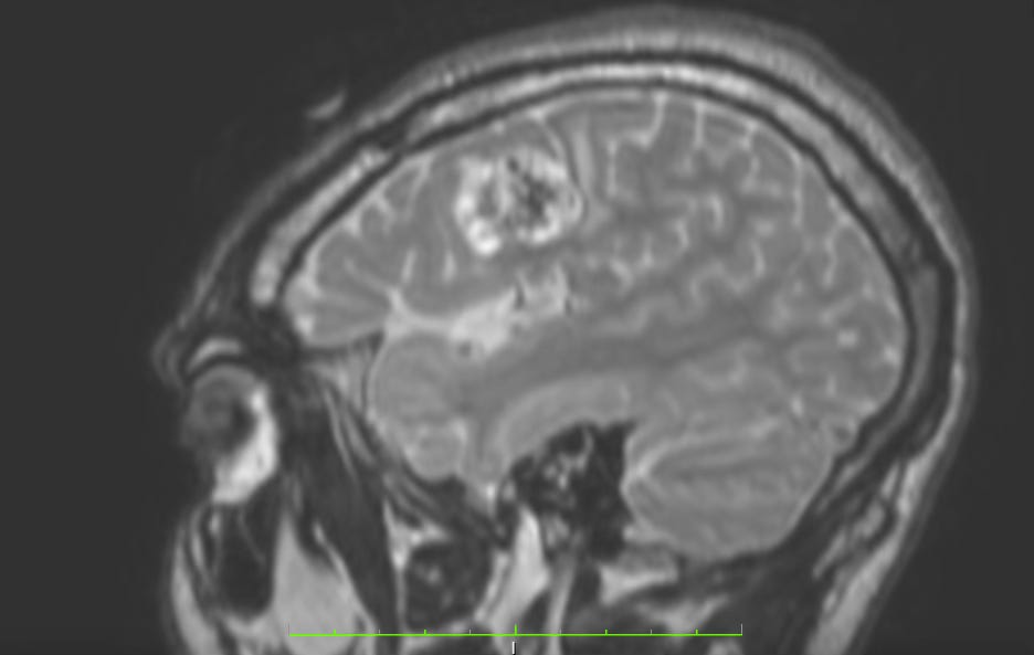
Let’s say you’ve just been diagnosed with a high grade glioma. You already have countless clinic letters that you can’t make sense of and you have had a bunch of scans you haven’t really seen, maybe briefly on a screen, but not properly, with all the different planes and looking carefully at each frame to distinguish what you are looking at with greater scrutiny and understanding.
What if you could gain access to all this information (it’s yours, so why not!) and make use of it to teach yourself more about your disease in simple, easy to understand terms, and then try to find solutions through the inquisitive type of brainstorming that, paired with ChatGPT, can provide powerful, insightful analysis which can provoke real thought about new options you may have not considered otherwise?
Sound good? Want to know more about what I mean? I’ll show you some examples of my thinking. This is anonymous data (because I don’t want to say who these individuals are for obvious reasons), but they provide useful examples of what I mean, in easy to follow steps.
Step 1: Information gathering
Keep reading with a 7-day free trial
Subscribe to Andrew’s Substack to keep reading this post and get 7 days of free access to the full post archives.

